Who Needs Ortho

The following are some of the signs we look for when evaluating whether your child needs orthodontics. If you suspect your child has one of the following conditions, we encourage you to bring them in for a complimentary consultation to determine if they would benefit from orthodontic intervention.

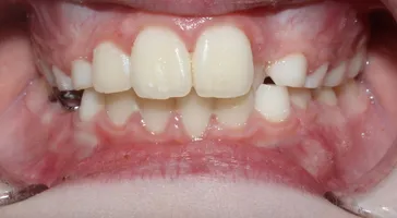
Crossbite of the back teeth. This is when the top back teeth sit inside the top bottom teeth. This orientation is incorrect and reflects an upper jaw that is too small for the lower jaw. Treatment often involves a palatal expander to correct the skeletal discrepancy.

2

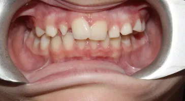
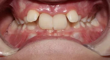
Crossbite of the front teeth, sometimes also known as an underbite if it involves most of the front teeth. This occurs when one or more of the front teeth sits inside the bottom teeth. Depending on whether it is one or multiple teeth and the relationship of the top to bottom jaw, Dr. Francesca will recommend a number of Phase I or Phase II treatment plans. The goal is to achieve optimum function and biting efficiency and minimize the risk of trauma to the front teeth by aligning all top front teeth in front of all bottom front teeth.

2 2 2

Skeletal open bite. This is where a patient can only bite on their back teeth due to the relationship of the two jaws. This kind of malocclusion makes it particularly hard to chew when the front teeth cannot bite into food. It often requires a multidisciplinary approach involving the orthodontist and other specialists.

5


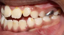
Open bite where the front teeth do not contact. This can be due to thumb sucking, finger sucking, tongue thrusting, or breathing habits. This occurs when a patient’s habits lead to an improperly fitting bite. Treatment is aimed at helping the patient discontinue the habits that are affecting the bite and evaluating any factors such as a tongue tie or airway concerns.

6 6 6 6


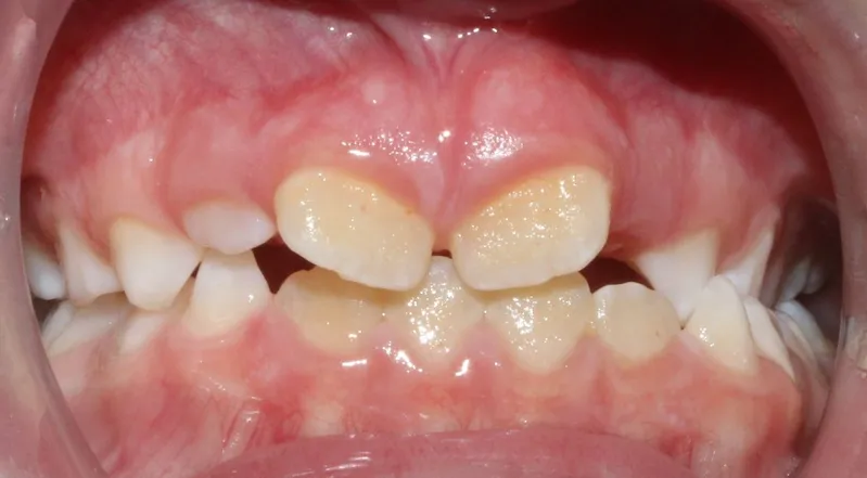
Overbite. This is when a patients top teeth overlap their bottom teeth. An excess amount of overbite can lead to excess wear and tear over a lifetime of the teeth. It can also be an indicator of other bite disharmonies that need to be addressed.

8


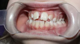
Overjet is when the top teeth “jet” out over the bottom teeth causing a protruded appearance. It is usually indicative of a habit that is affecting the bite or an skeletal disharmony that may benefit from a combined Phase I and Phase II treatment plan.

9


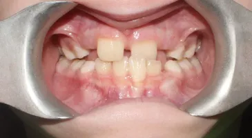
Missing or narrow teeth. Many times patients are missing one or more of their permanent teeth. The most frequently noted tooth is a front tooth – the second one out from the midline. These can be missing or look like baby teeth. If your child is missing their permanent tooth or the tooth appears small, it is important to do an early consultation to determine the best long term orthodontic plan for its final restoration or replacement. Dr. Francesca’s will formulate a plan that sets you and your cosmetic or restorative dentist up for an optimum esthetic result.

10


Ectopic teeth. These are difficult to diagnose in the mouth but occur when the permanent tooth is not erupting properly. This is why we encourage all patients to have their first orthodontic consultation by age 7 so their developmental panoramic x-ray can be evaluated by the orthodontist. They always require orthodontic intervention. Dr. Francesca uses a team approach alongside the oral surgeons and periodontists to access the tooth and align it in the mouth.

  • Pano of impacted canine
  • Pano of impacted UE’s

cc cc cc cc

Our Location

Hours of Operation

Monday

7:30 am - 5:00 pm

Tuesday

7:30 am - 5:00 pm

Wednesday

7:30 am - 5:00 pm

Thursday

7:30 am - 5:00 pm

Friday

Closed

Saturday

Closed

Sunday

Closed

Monday
7:30 am - 5:00 pm
Tuesday
7:30 am - 5:00 pm
Wednesday
7:30 am - 5:00 pm
Thursday
7:30 am - 5:00 pm
Friday
Closed
Saturday
Closed
Sunday
Closed